
La bacteria Klebsiella oxytoca llevó a la emisión de una alerta epidemiológica por parte de la Secretaría de Salud.
Este microorganismo, tiene capacidad de causar infecciones graves, especialmente en pacientes vulnerables, como niños y personas inmunodeprimidas.
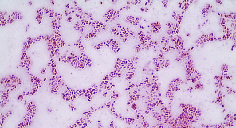
Klebsiella oxytoca pertenece a un grupo de bacterias que suelen ser inofensivas en condiciones normales, pero que pueden convertirse en una amenaza seria en entornos clínicos. Un brote de esta bacteria puede estar relacionado con la contaminación de soluciones utilizadas en la nutrición parenteral total (NPT).
La NPT es un método que proporciona nutrientes esenciales directamente al torrente sanguíneo, utilizado en pacientes que no pueden alimentarse por vías convencionales.
Las infecciones por la bacteria Klebsiella oxytoca varían según el sistema del cuerpo que afecten, los síntomas más comunes incluyen:
Fiebre alta y escalofríos.
Taquicardia, o aceleración del ritmo cardíaco.
Dificultad para respirar.
Cambios en el estado mental, como confusión en casos severos.
Signos de sepsis, una respuesta inflamatoria grave que puede desencadenar insuficiencia multiorgánica.
Si no se trata de manera adecuada y oportuna, estas infecciones pueden llevar a complicaciones graves, aumentando el riesgo de mortalidad, especialmente en pacientes críticos.