
Manchas blancas en dientes pueden venir de flúor en exceso en la infancia o de esmalte débil.
Aunque pueden verse como un tema meramente estético, en realidad tienen orígenes distintos y a veces son una señal temprana de desgaste o desmineralización del esmalte.
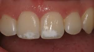
Estas marcas aparecen como alteraciones en el color de la superficie del esmalte dental, se ven como áreas de blanco mate u opaco que contrastan con el tono habitual del diente, que puede ser blanquecino, amarillento o incluso grisáceo con brillo natural.
Pueden presentarse tanto en niños como en adultos, en dientes temporales (de leche) y definitivos, indica el sitio web Decisions In Dentistry.
Algunas veces son solo un detalle estético, pero en otras pueden ser una señal temprana de que el esmalte está perdiendo minerales, es decir, el primer paso hacia una caries.